Bienvenue dans le cabinet d'orthodontie des Docteurs ASSAYAG et DRAI
Les Drs Nathalie Assayag et Solal Drai, entourés d’une équipe engagée et attentive, vous accueillent dans le 9ème arrondissement de Marseille dans un environnement moderne, chaleureux et apaisant.
Nous proposons des traitements orthodontiques personnalisés pour les enfants, les adolescents et les adultes : appareils multi-attaches, aligneurs transparents et solutions innovantes, pensés pour s’intégrer harmonieusement à votre quotidien tout en garantissant précision et esthétisme.
Conçu pour votre confort et votre sérénité, le cabinet offre un cadre soigné et rassurant, où chaque étape du traitement est guidée par l’écoute, l’expertise et la bienveillance de notre équipe, afin de vous assurer une expérience aussi agréable qu’efficace.
NOS VALEURS
NOTRE ÉQUIPE
Docteur Nathalie ASSAYAG
Orthodontiste
- Orthodontiste à Marseille
- Spécialiste Qualifiée en Orthopédie-dento-faciale
- Ancien interne des Hôpitaux de Marseille
- Membre de la Société Française d’Orthodontie
- Membre de la Société Bioprogressive de Ricketts
- Praticienne certifiée en technique vestibulaire AMERICAN ORTHODONTICS®
- Praticienne certifiée en technique lingual INCOGNITO®
- Praticienne certifiée en technique par aligneurs INVISALIGN®
Docteur Solal DRAI
Orthodontiste
- Orthodontiste à Marseille
- Spécialiste Qualifié en Orthopédie-dento-faciale
- Ancien interne des Hôpitaux de Nantes
- Membre de la Société Française d’Orthodontie
- Membre de la Société Bioprogressive de Ricketts
- Praticien certifié en technique vestibulaire AMERICAN ORTHODONTICS®
- Praticien certifié en technique lingual WIN®
- Praticien certifiéeen technique par aligneurs INVISALIGN®
NOS ASSISTANTES
Christelle
Assistante dentaire qualifiée en orthopédie dento-faciale
Murielle
Assistante dentaire qualifiée en orthopédie dento-faciale
Julie
Assistante dentaire qualifiée en orthopédie dento-faciale
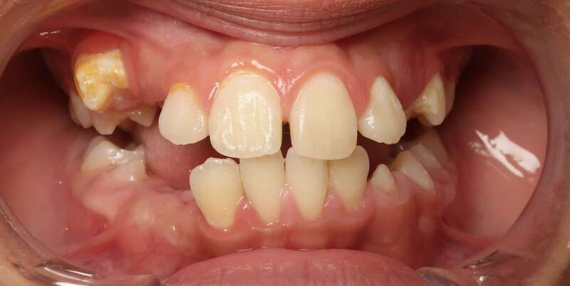
QU'ES CE QU'UN ORTHODONTISTE SPÉCIALISTE ?
Un orthodontiste spécialiste en orthopédie dento-faciale est un chirurgien-dentiste ayant suivi une formation universitaire complémentaire de plusieurs années exclusivement dédiée au diagnostic, à la prévention et au traitement des malocclusions (mauvais alignement des dents et des mâchoires).
Après les études de chirurgie dentaire, l’orthodontiste spécialiste réalise un internat lui permettant de maîtriser les techniques avancées telles que les appareils dentaires multi-attaches, les aligneurs transparents (type Invisalign®), les dispositifs d’orthodontie interceptive chez l’enfant, ainsi que les traitements chez l’adulte.
Son rôle ne se limite pas à l’esthétique du sourire. Il corrige les dents mal alignées, les problèmes de mâchoire, les béances, les supraclusions, les classes II et III, afin d’améliorer la fonction masticatoire, la respiration et la stabilité à long terme.
Consulter un orthodontiste permet de bénéficier d’un diagnostic précis, d’un plan de traitement personnalisé et d’un suivi rigoureux. Le spécialiste travaille en coordination avec votre dentiste traitant pour garantir une prise en charge globale et sécurisée.
À PARTIR DE QUEL ÂGE CONSULTER UN ORTHODONTISTE ?
Il est recommandé de réaliser une première consultation chez un orthodontiste vers l’âge de 6 ans. À cet âge, les premières dents définitives apparaissent et la croissance des mâchoires débute activement. Un bilan orthodontique précoce permet de détecter d’éventuels problèmes d’alignement dentaire, de décalage des mâchoires ou de manque de place.
Consulter tôt ne signifie pas forcément poser un appareil dentaire immédiatement. Dans la majorité des cas, il s’agit simplement d’un contrôle et d’un suivi de croissance. Une prise en charge au bon moment peut éviter des traitements plus complexes à l’adolescence.
L’orthodontie concerne également les adolescents et les adultes. Il n’y a pas d’âge limite pour améliorer son sourire grâce aux appareils dentaires ou aux aligneurs transparents.
Un avis personnalisé permet de déterminer le moment idéal pour débuter un traitement orthodontique adapté à chaque patient.
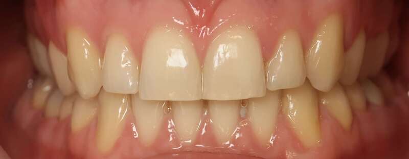
UN SOURIRE HARMONIEUX, UN ATOUT POUR LA VIE
Sourire est bien plus qu’un simple geste : il reflète votre personnalité, renforce votre confiance et participe à votre bien-être au quotidien. En orthodontie, harmoniser un sourire ne relève pas uniquement de l’esthétique dentaire, mais aussi de la santé bucco-dentaire et de l’équilibre fonctionnel.
Au sein de notre cabinet d’orthodontie à Marseille, Dr Assayag et Dr Drai mettons notre expertise au service des enfants, adolescents et adultes souhaitant améliorer l’alignement de leurs dents et la qualité de leur sourire. Grâce à des traitements modernes comme les appareils dentaires discrets et les aligneurs transparents, nous proposons des solutions personnalisées adaptées à chaque situation.
Un sourire bien aligné facilite l’hygiène dentaire, contribue à la stabilité des résultats dans le temps et participe à une meilleure confiance en soi, tant dans la vie personnelle que professionnelle. Notre approche repose sur l’écoute, la précision et la bienveillance afin d’accompagner chaque patient à chaque étape de son traitement orthodontique.
Parce qu’un beau sourire est un véritable atout, nous avons à cœur de révéler le potentiel de chacun avec des soins d’orthodontie sur mesure, alliant santé, esthétique et sérénité.
VOTRE PARCOURS DE PRISE EN CHARGE
01.
Première consultation
- Examen clinique
- Définir vos attentes
- Choisir le moment idéal pour entamer le traitement
02.
Bilan
- Examen radiographique
- Photos de pré-traitement
- Empreinte numérique
03.
Explication traitement
- Fournir le diagnostic ainsi que les objectifs du traitement
- Présenter le déroulement du traitement
- Choisir la technique appropriée pour le traitement
04.
Traitement
- Pose de l’appareil orthodontique (Bagues ou Aligneurs)
- Suivi Régulier
- Mécaniques et finitions personnalisés au cours du traitement
05.
Contention
- Retrait de l'appareil
- Installation d'un fil de contention et d'une gouttière nocturne
- Suivi des dents de sagesse
- Suivi post-traitement (d'une durée de 1 à 2 ans)
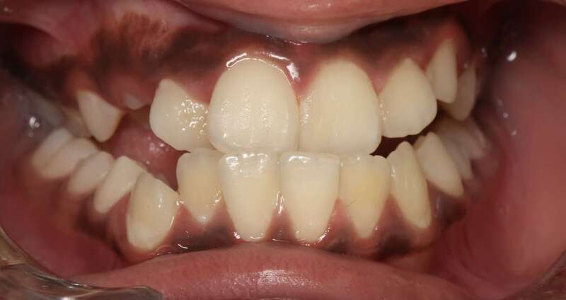
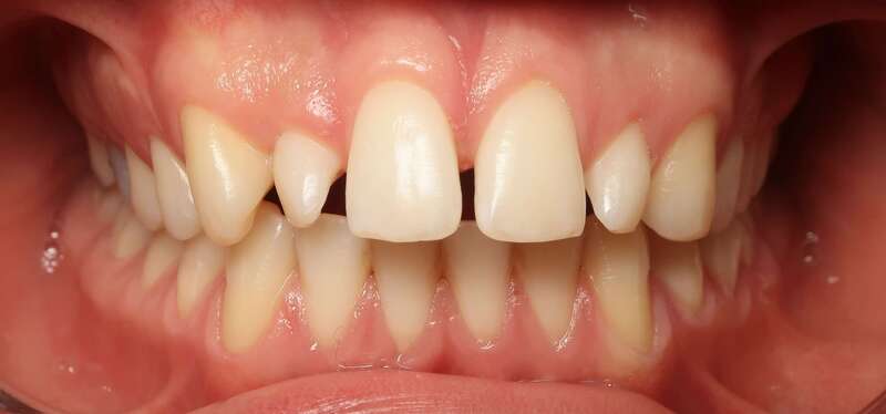
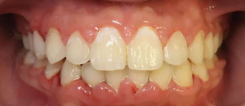
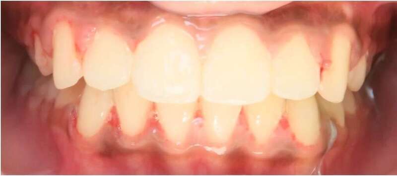
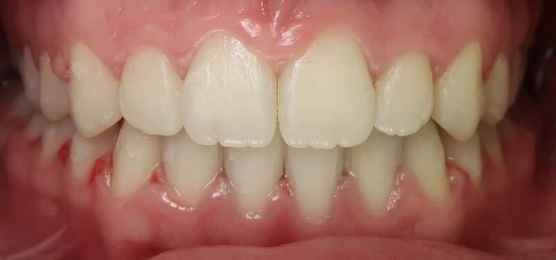
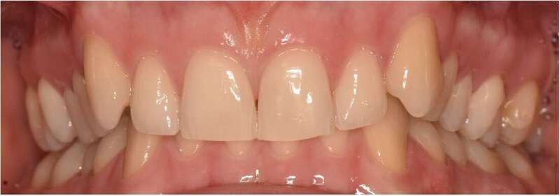
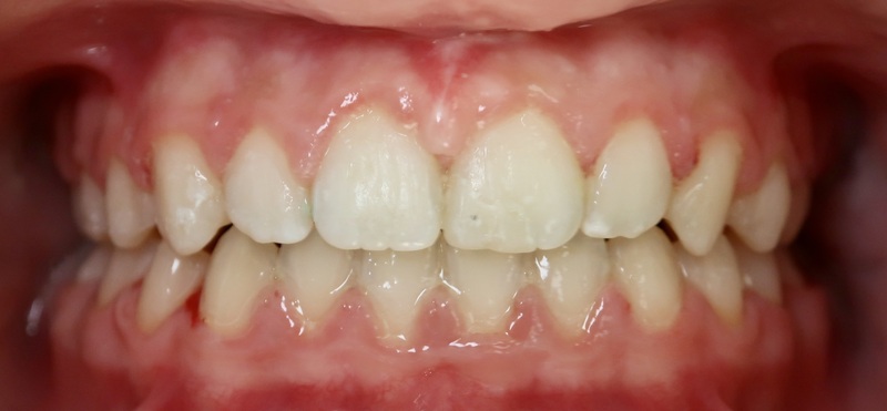
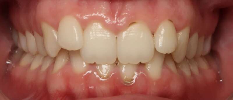
LES TRAITEMENS
SUIVI DE NOS PATIENTS
Au sein de notre cabinet d’orthodontie, nous mettons à votre disposition des systèmes innovants de suivi orthodontique à distance pour contrôler l’évolution de votre traitement en toute sécurité. Ces solutions digitales sont particulièrement adaptées aux traitements par aligneurs et multi bagues et permet de limiter les déplacements tout en garantissant un suivi précis et personnalisé.
PLAN D'ACCÈS
Adresse
Cabinet d'Orthodontie des Drs Nathalie ASSAYAG et Solal DRAI
2 Boulevard Dromel
13009
MARSEILLE
Moyen d'accès
Parking devant le cabinet
Accessibilité pour les personnes à mobilité réduite
Station de métro Dromel (http://www.rtm.fr/)



