Cabinet d'Orthodontie du Dr Nathalie ASSAYAG
Orthodontiste à MARSEILLE 13009
ACCUEIL
LE CABINET
ACCÈS
VIDÉOS
FICHES CONSEILS
QUESTIONNAIRES
Questionnaire de satisfaction
Questionnaire médical enfant
Questionnaire médical adulte
ÉVÉNEMENTS
ACCES PATIENT
APPLICATIONS
Dental monitoring
Mon orthodontiste
RESEAUX SOCIAUX
FACEBOOK
INSTAGRAM
CONTACT
Cabinet d'Orthodontie du Dr Nathalie ASSAYAG
Orthodontiste à MARSEILLE 13009
2 Boulevard Dromel
13009
MARSEILLE
+33 4 91 75 42 46
ACCUEIL
LE CABINET
ACCÈS
VIDÉOS
FICHES CONSEILS
QUESTIONNAIRES
Questionnaire de satisfaction
Questionnaire médical enfant
Questionnaire médical adulte
ÉVÉNEMENTS
ACCES PATIENT
APPLICATIONS
Dental monitoring
Mon orthodontiste
RESEAUX SOCIAUX
FACEBOOK
INSTAGRAM
CONTACT
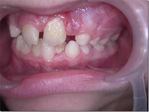
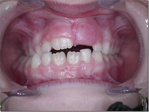
Appareil de Planas
Térence 8 ans
Avant
Après
Fabion 9 ans
Avant
Après
Cabinet d'Orthodontie du Dr Nathalie ASSAYAG
2 Boulevard Dromel
13009
MARSEILLE
+33 4 91 75 42 46
Conditions Générales Utilisation
Mentions légales
Politique de confidentialité et charte cookie
Charte déontologique
Ordre national
Annuaires chirurgiens dentistes
Création par
Connexion